Thông tin đặt lịch

NHỮNG THẮC MẮC THƯỜNG GẶP VỀ MỤN TRỨNG CÁ

BSCK1.Nguyễn Phương Thảo
Mụn trứng cá là một tình trạng về da rất thường gặp, đặc biệt là ở độ tuổi thanh thiếu niên như học sinh, sinh viên. Do đó, những vấn đề về nguyên nhân gây mụn, hậu quả, mức độ nặng và cách điều trị thường xuyên nhận được nhiều sự quan tâm từ bản thân người bệnh và các bậc phụ huynh. Trong bài viết này, mời bạn đọc cùng các Bác sĩ nhà AV giải đáp những thắc mắc thường gặp về Mụn trứng cá nhé!
1. Mụn trứng cá là gì? Thường gặp ở đối tượng nào?
Mụn trứng cá là một rối loạn của đơn vị nang lông – tuyến bã thường gặp. Bệnh được xếp vào một trong ba bệnh da phổ biến nhất, đặc biệt là ở độ tuổi 12 – 25 với tỉ lệ mắc bệnh khoảng 85%.
Tuy chiếm tần suất cao ở thanh thiếu niên và người trẻ, mụn trứng cá có thể gặp ở bất kì độ tuổi nào, từ giai đoạn sơ sinh – nhũ nhi, trẻ nhỏ, tuổi dậy thì, thậm chí có thể kéo dài đến sau tuổi 50 (15% ở nữ và 7% ở nam).
Xét về tương quan giới tính, nam thường có biểu hiện bệnh nặng hơn so với nữ.
2. Nguyên nhân và hậu quả của mụn trứng cá
Mụn trứng cá gây ra bởi sự tương tác qua lại của nhiều yếu tố như nội tiết, di truyền, môi trường, chế độ đinh dưỡng và lối sống,...
Đơn giản hóa cơ chế gây ra mụn trứng cá đề cập đến 4 yếu tố chính:
(1). Bít tắc tại nang lông
(2). Tăng tiết bã nhờn trên da
(3). Sự tăng sinh quá mức của vi khuẩn gây mụn C.acnes
(4). Tình trạng viêm
Mụn trứng cá Hình 2.1. Cơ chế sinh mụn: bít tắc nang lông, tăng bã nhờn, vi khuẩn C.ances và tình trạng viêm
(Nguồn: Fitzpatrick Dermatology 9th edition)

Mụn trứng cá nặng hoặc kéo dài không những để lại những hậu quả trên da như đỏ da và vết thâm, sẹo rỗ hoặc sẹo lồi mà còn gây ra những tác động nặng nề trên tâm lý bệnh nhân như thiếu tự tin và gây trở ngại trong giao tiếp, lo âu, căng thẳng, thậm chí có thể dẫn đến trầm cảm. Điều trị mụn sớm và đúng cách chính là phương pháp hữu hiệu giúp ngăn ngừa hoặc giảm thiểu các biến chứng trên da của mụn trứng cá. Từ đó, khôi phục sự tự tin, mang lại nhiều cơ hội mới trong công việc và cuộc sống.
3. Làm cách nào nhận biết được mức độ nặng, nhẹ của mụn trứng cá? Các phương pháp chữa mụn thông thường? Khi nào cần gặp Bác sĩ chuyên khoa để điều trị mụn?
3.1. Phân độ nặng của mụn trứng cá
Về mặt học thuật, trong y khoa có nhiều cách phân loại mức độ nặng của mụn trứng cá được đề xuất bởi nhiều tác giả. Ở đây, chúng tôi xin được phép tổng hợp và tinh giản để bạn đọc có thể tham khảo ở mức độ ngoài chuyên môn và biết cách tự đánh giá sơ khởi độ nặng tình trạng mụn của bản thân/người thân.
Đầu tiên, cùng điểm qua các tổn thương cơ bản của mụn trứng cá:
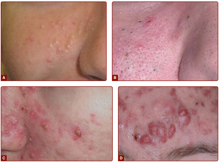
Mụn trứng cá Hình 3.1.Các tổn thương cơ bản của mụn: nhân trứng cá đóng/mở, sẩn viêm, mụn mủ, nốt nang.
(Nguồn: Fitzpatrick Dermatology 9th edition)

- Nhân trứng cá đóng/mở: hay còn gọi là mụn đầu trắng và mụn đầu đen
- Sẩn viêm: nốt sưng đỏ, kích thước không quá 1cm; trên đỉnh có thể có mủ màu trắng, gọi là mụn mủ
- Nốt/nang: nốt sưng, đau, bên trong chứa đầy dịch viêm và mủ. Đây là tổn thương viêm sâu và rất dễ để lại sẹo, nang viêm lâu có thể vỡ ra và tạo đường dò thông nối với các nang lân cận, hình thành nên xoang mủ
- Ngoài ra, như đã đề cập ở phần trước, sẹo rỗ, sẹo lồi, đỏ da và vết thâm là những hậu quả trên da thường gặp của mụn trứng cá
Mụn trứng cá Hình 3.2.Hậu quả của mụn trứng cá: sẹo đỏ, sẹo lõm, sẹo lồi.
Phân độ đơn giản cho mụn trứng cá:
Nhẹ: hầu như chỉ có nhân trứng cá đóng và/hoặc mở; có thể có sẩn viêm, mụn mủ với số lượng rất ít.
Trung bình: chủ yếu là sẩn viêm, mụn mủ ở một số vùng như trán, má, cằm; kèm theo là nhân trứng cá ở mức độ vừa phải.
Nặng: sẩn viêm, mụn mủ lan rộng khắp mặt; nốt, nang gặp ở nhiều vị trí, kèm theo đó là nhân trứng cá số lượng nhiều. Khi bị nặng, mụn trứng cá có thể lan tràn xuống hàm – cổ, ngực trên, lưng và phần trên cánh tay.
3.2. Các phương pháp điều trị mụn và thời điểm cần đến gặp Bác sĩ
Thông thường, với mức độ nhẹ, bệnh nhân chỉ cần điều trị với những loại thuốc thoa tại chỗ có công dụng giảm sưng viêm. Đối với mụn trứng cá ở mức trung bình đến nặng, thuốc uống là lựa chọn ưu tiên trong điều trị. Các thuốc này có thể là kháng sinh hoặc là dẫn xuất của vitamin A (Isotretinoin) dùng đặc trị cho mụn trứng cá. Bên cạnh đó, việc phối hợp uống – thoa và các phương pháp cũng như công nghệ khác như thay da bằng hóa chất, ánh sáng sinh học, IPL & Laser… cũng giúp tăng cường hiệu quả và rút ngắn thời gian thời gian điều trị.
Khi nào cần điều trị mụn với Bác sĩ chuyên khoa?
Bệnh nhân mụn trứng cá có thể tự chăm sóc và sử dụng thuốc thoa tại nhà đến khi bệnh ổn định. Tuy nhiên, cần đến thăm khám tại các cơ sở chuyên khoa để được BS Da liễu tư vấn và điều trị trong những trường hợp sau:
- Mụn trứng cá ở mức độ trung bình-nặng.
- Mụn dù chỉ ở mức nhẹ nhưng dai dẳng, thường xuyên tái phát, kém đáp ứng với các điều trị thông thường
- Tình trạng mụn có biểu hiện nghi ngờ liên quan đến các bệnh lý toàn thân (ví dụ: Bất thường di truyền, rối loạn nội tiết, …).
- Hậu quả do mụn nặng nề, kéo dài, gây ảnh hưởng xấu đến sức khỏe tinh thần
Cần nhớ rằng Mụn trứng cá gây ra bởi sự tương tác của nhiều yếu tố khác nhau và đã được phân vào nhóm bệnh mạn tính, có thể tái phát nhiều lần chứ không chỉ mắc phải một lần duy nhất trong đời. Do đó, việc chú ý điều chỉnh chế độ sinh hoạt gồm ăn uống, nghỉ ngơi, vận động; cách lựa chọn mỹ phẩm như thế nào, chăm sóc da mỗi thời điểm ra sao cho phù hợp cũng hết sức quan trọng.
Trên thực tế, điều trị mụn là một điều trị toàn diện bao gồm không chỉ làm giảm hoặc hết các tổn thương mụn trong thời điểm hiện tại mà còn (1). kiểm soát các yếu tố xung quanh để hạn chế tối thiểu việc mụn tái phát, và (2). khắc phục hậu quả về mặt thẩm mỹ do mụn gây ra. Vì vậy, dù bị mụn ở mức độ nào, đừng ngại ngần tham vấn với Bác sĩ để được điều trị sớm, hiệu quả và nhận được những hướng dẫn để tự chăm sóc làn da đúng cách.